Innovations in Teaching and Learning in Science: The Blush and Brush Night
Fun in Brain Science: An antidote to the Covid Blues with Learning!
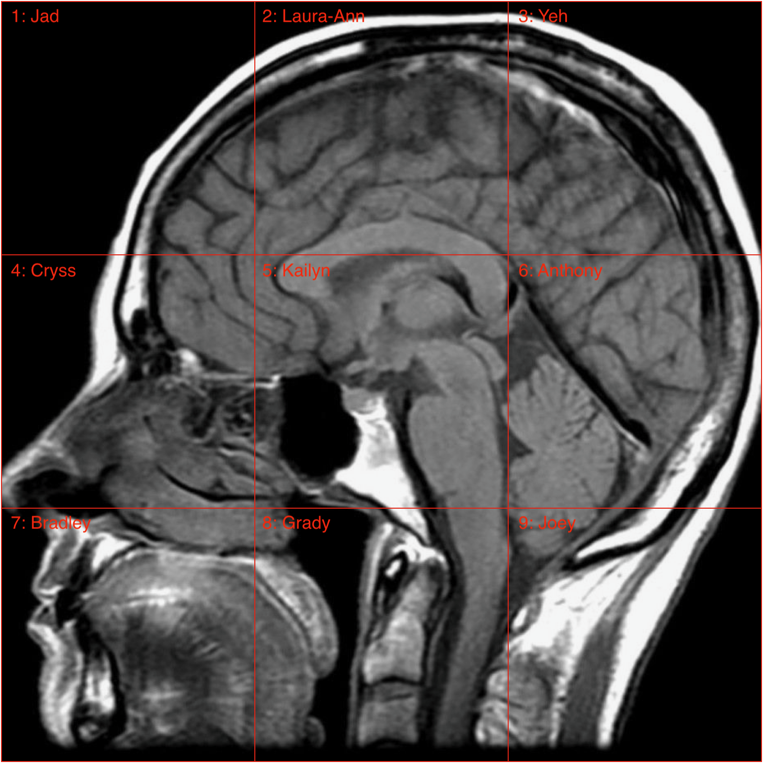
Fun in Brain Science: An antidote to the Covid Blues with Learning!
Nov 20, Friday night 7:00-9:30pm (from the homes of students around the nation!). Cryss Padilla, M.A. (BL2 Science Manager), and Dr. Bradley White (BL2 Neuroimaging Scientist), and I (Laura-Ann Petitto) noticed that our BL2 students were experiencing a touch of the Covid-19 lockdown blues. Add, as brain science students, we had a learning outcome goal whereby the students were to learn structural brain neuroanatomy and functions. So, Bradley thought to build "care packages" for each of the students, which contained a variety of goodies, including paint, paint brushes, canvases, candies, etc. (Petitto was thrilled to find Nespresso Coffee in hers!) Cryss Padilla was amazing and organized all the students to show up for a “BL2 Social Bonding Night” with a "Brain Challenge." Here, students were shown a brain divided into sections, whereupon each different section had a student’s name (see photos). Students drew their brain sections ("creative license" welcomed!). After this, Bradley is going to put all of the painted canvases together and build a grand brain mosaic to hang in BL2. PRESIDENT CORDANO: Petitto had been chatting with President Cordano about the boxes several weeks ago and thought to send her one. Why? Because she actually inspired Bradley and Cryss to think of the care packages in the first place, as she sent all 2020 graduates care packages this year due to their virtual graduation. Much to our joy, President Cordano surprised us all and actually showed up for the event and stayed for more than an hour!!! The students were utterly thrilled - made them feel special and the event indeed lifted all of our spirits.








